您的位置 首页 卫生健康

延安市中医医院:高龄老人骨折 多学科护航架起“生命桥”

78岁高龄、重度骨质疏松、静脉血栓、心功能不全……当这位老人因摔倒引发左髋剧痛,一场生死竞速的医疗攻坚战迅速打响。延安市中医医院(北京大学第三医院延安分院)多学科协作,以精准决策、微创技术与全程护航,搭建起跨越生死的“生命之桥”。

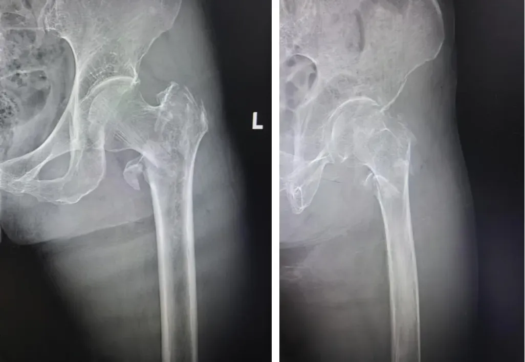
老人被紧急送医后,延安市中医医院第一时间开启高龄骨折绿色通道,加急完成心脏、肺部、凝血功能等检查。然而,检查结果却远超预期——左股骨粗隆间粉碎性骨折、入院时双下肢静脉血栓形成、多种基础病交织,让治疗难度陡增。看着卧床不起、痛苦呻吟的老人,家属满心焦灼:“年纪这么大,还带着血栓,这手术还能做吗?”

IMG_256

危急时刻,运动医学科在北京大学第三医院驻延专家陈有荣及科室主任庞军的带领下,紧急组织病情研讨。经过反复评估、缜密论证,在充分征得家属同意后,团队最终决定为患者实施微创PFNA内固定术。同时针对老人体弱、贫血、合并血栓等问题,团队同步采取纠正贫血、抗感染、抗血栓等对症措施;麻醉科精准调控患者血压、血糖至手术安全范围。

在无影灯下,运动医学科团队凝神聚力、精细操作。2小时后,螺旋状固定钉顺利植入,也为老人后续康复打下坚实基础。目前,患者正在营养科和康复科医生的专业指导下,稳步进行恢复训练。

IMG_257

运动医学科庞军主任介绍

高龄骨折患者的救治,考验的不仅是单一科室的技术,更是医院多学科协作的综合实力。此次为患者实施的微创PFNA内固定术,相比传统开放手术,不用大范围切开骨折部位,既能减少软组织损伤、保护骨周血管,又能实现骨折端的牢固固定,帮助患者更早下床活动,降低卧床并发症风险。

老年髋部骨折常被称作“最后一次骨折”,对高龄患者来说治疗与康复之路布满挑战。延安市中医医院运动医学科团队从精准微创手术,术后全程照护,到长期骨质疏松防控、跌倒预防指导,帮助老年患者跨越生命关卡,重拾生活质量,续写健康晚年。(杨   春)

责编:杜鹏飞

编辑:刘凡

 

版权所有和免责声明
1. 凡本网注明“来源:陕西时代网”的所有作品,版权均属本网所有,未经本网授权不得转载。已经本网授权,必须注明“来源:陕西时代网”,违者将追究法律责任。
2. 凡本网注明“来源:XXX(非陕西时代网)”的作品,转载此文是出于传递更多信息之目的。
3. 若有来源标注错误或侵犯了您的合法权益,请作者持权属证明与本网联系,我们将及时更正、删除,谢谢。

为您推荐

返回顶部