您的位置 首页 时代热点

渭北中心医院:“急”在分秒之间 “救”在生死边缘

周末的城市夜晚,本是万家灯火点亮家庭温馨、朋友欢聚放松心情的时刻。然而,一阵急促的手机铃声,划破了渭北中心医院心内科高建平主任家中的宁静。电话那头,是医院胸痛中心传来的紧急消息:“一名急性广泛前壁心肌梗死患者,情况危急,需立即行PCI手术!”

时间就是心肌,时间就是生命!高建平主任没有丝毫犹豫,甚至来不及换下家居服,抓起车钥匙便冲进夜色,直奔医院。从温暖的家中到无影灯下的战场,一场与死神的极速赛跑就此展开。

患者是一名57岁女性,不久前开始出现持续胸闷不适,她本以为是近几日劳作引起的,休息后便能缓解。然而,当天下午胸闷症状突然加重,并伴有左肩部疼痛不适。就诊于外院后,她被确诊为急性心肌梗死,为寻求紧急介入治疗,立即转入我院胸痛中心进行手术治疗。

患者到达我院胸痛中心时,整个介入团队早已严阵以待。急诊医生和护士迅速完成术前检查,心内科团队同步完成术前谈话程序,导管室也已激活准备就绪。一切都在紧张而有序地进行,没有任何延误。

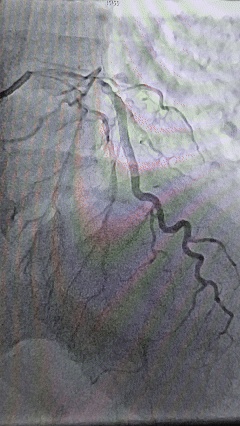
进入介入科后,冠脉造影结果显示,患者的前降支已从近段完全堵死,情况十分紧急。心内科团队迅速展开手术,穿刺、造影、球囊扩张、支架植入……每一个步骤都精准而迅速。对于心率过慢、血压过低的患者,手术风险极高,操作需如履薄冰。团队不仅要争分夺秒地开通被血栓堵塞的冠状动脉,恢复心肌供血,还要时刻维持患者生命体征的稳定,应对术中可能出现的任何突发状况。随着血流恢复,患者的心率、血压逐步回升,成功为患者开通了闭塞的“生命线”。

IMG_257 术前
IMG_258 术后

这台手术的成功,是心内科团队技术与协作的最好证明。我院心内科团队用他们的实际行动,践行着“敬佑生命、救死扶伤”的职业精神,为渭北百姓的心脏健康筑起了一道坚实而温暖的防线。这个夜晚,他们守护的,不仅是患者的生命,更是无数个家庭的希望与团圆。(供稿:渭北中心医院)

责编:杜鹏飞

编辑:汪洋

 

版权所有和免责声明
1. 凡本网注明“来源:陕西时代网”的所有作品,版权均属本网所有,未经本网授权不得转载。已经本网授权,必须注明“来源:陕西时代网”,违者将追究法律责任。
2. 凡本网注明“来源:XXX(非陕西时代网)”的作品,转载此文是出于传递更多信息之目的。
3. 若有来源标注错误或侵犯了您的合法权益,请作者持权属证明与本网联系,我们将及时更正、删除,谢谢。

为您推荐

返回顶部